9.9
CiteScore
7.1
Impact Factor

2020 Vol. 47, No. 7

Display Method:
Articles
The relationship between chimeric RNAs and gene fusions: Potential implications of reciprocity in cancer
Justin Elfman, Lam-Phong Pham, Hui Li
2020, 47(7): 341-348. doi: 10.1016/j.jgg.2020.04.005
Abstract (131) HTML PDF (4)
Abstract:
Complexities and pitfalls in analyzing and interpreting mitochondrial DNA content in human cancer
Hieu Nguyen, Thomas LaFramboise
2020, 47(7): 349-359. doi: 10.1016/j.jgg.2020.04.007
Abstract (211) HTML PDF (3)
Abstract:
Mutations in the human mitochondrial genome have been observed in all types of human cancer, indicating that mutations might contribute to tumorigenesis, metastasis, recurrence, or drug response. This possibility is appealing because of the known shift from oxidative metabolism to glycolysis, known as the Warburg effect, that occurs in malignancy. Mitochondrial DNA (mtDNA) mutations could either be maternally inherited and predispose to cancer (germ line mutations) or occur sporadically in the mtDNA of specific tissues (tissue- or tumor-specific somatic mutations) and contribute to the tumor initiation and progression process. High-throughput sequencing technologies now enable comprehensive detection of mtDNA variation in tissues and bodily fluids, with the potential to be used as an early detection tool that may impact the treatment of cancer. Here, we discuss insights into the roles of mtDNA mutations in carcinogenesis, highlighting the complexities involved in the analysis and interpretation of mitochondrial genomic content, technical challenges in studying their contribution to pathogenesis, and the value of mtDNA mutations in developing early detection, diagnosis, prognosis, and therapeutic strategies for cancer.
DNA methyltransferases in hematological malignancies
Nguyet-Minh Hoang, Lixin Rui
2020, 47(7): 361-372. doi: 10.1016/j.jgg.2020.04.006
Abstract (281) HTML PDF (10)
Abstract:
DNA methyltransferases (DNMTs) are an evolutionarily conserved family of DNA methylases, transferring a methyl group onto the fifth carbon of a cytosine residue. The mammalian DNMT family includes three major members that have functional methylation activities, termed DNMT1, DNMT3A, and DNMT3B. DNMT3A and DNMT3B are responsible for methylation establishment, whereas DNMT1 maintains methylation during DNA replication. Accumulating evidence demonstrates that regulation of DNA methylation by DNMTs is critical for normal hematopoiesis. Aberrant DNA methylation due to DNMT dysregulation and mutations is known as an important molecular event of hematological malignancies, such as DNMT3A mutations in acute myeloid leukemia. In this review, we first describe the basic methylation mechanisms of DNMTs and their functions in lymphocyte maturation and differentiation. We then discuss the current understanding of DNA methylation heterogeneity in leukemia and lymphoma to highlight the importance of studying DNA methylation targets. We also discuss DNMT mutations and pathogenic roles in human leukemia and lymphoma. We summarize the recent understanding of how DNMTs interact with transcription factors or cofactors to repress the expression of tumor suppressor genes. Finally, we highlight current clinical studies using DNMT inhibitors for the treatment of these hematological malignancies.
Landscape of transcript isoforms in single T cells infiltrating in non-small-cell lung cancer
Jiesheng Li, Hannah Y. Comeau, Zemin Zhang, Xianwen Ren
2020, 47(7): 373-388. doi: 10.1016/j.jgg.2020.06.006
Abstract (110) HTML PDF (1)
Abstract:
Single-cell RNA sequencing (scRNA-seq) has enabled high-resolution characterization of molecular signatures of tumor-infiltrating lymphocytes. However, analyses at the transcript isoform level are rarely reported. As alternative splicing is critical to T-cell differentiation and activation, here, we proposed a computational method named IDEA (Isoform Detection, Enrichment, and functional Annotation) to comprehensively detect and annotate differentially used isoforms across cell subtypes. We applied IDEA on a scRNA-seq data set of 12,346 T cells from non-small-cell lung cancer (NSCLC). We found that most genes tend to dominantly express one isoform in single T cells, enabling typing T cells based on the isotypes, given a gene. Isotype analysis suggested that tumor-infiltrating T cells significantly preferred specific isotypes for 245 genes in CD8+ T cells and 456 genes in CD4+ T cells. Functional annotation suggests that the preferred isoforms involved in coding/noncoding switches, transcription start site changes, gains/losses of domains, and subcellular translocation. Clonal analysis revealed that isoform switching occurred during T-cell activation/differentiation. Our analysis provides precise characterization of the molecular events in tumor-infiltrating T cells and sheds new light on the regulatory mechanisms of tumor-infiltrating T cells.
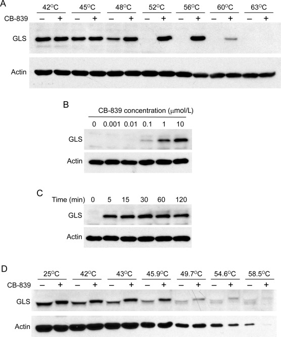
A facile and sensitive method of quantifying glutaminase binding to its inhibitor CB-839 in tissues
Yicheng Chen, Yiqing Zhao, David L. Bajor, Zhenghe Wang, J. Eva Selfridge
2020, 47(7): 389-395. doi: 10.1016/j.jgg.2020.06.001
Abstract (111) HTML PDF (1)
Abstract:
Many cancer types reprogram their metabolism to become addicted to glutamine. One of the critical enzymes in the utilization of glutamine in these cells is glutaminase. CB-839 (telaglenastat) is a drug that targets glutaminase that is currently being evaluated in many clinical trials for efficacy in various cancer types that are known to be driven by glutamine metabolism. Despite its use, there are limited assays available for testing the pharmacodynamic on-target effects of CB-839 on the limited, small-volume patient samples that are obtained in early-phase clinical trials. Thus, we developed an assay based on the cellular thermal shift assay technique using AlphaLISA technology to show that CB-839 specifically engages glutaminase in colon cancer cell lines in vitro and in minute quantities of mouse xenograft tumors. Notably, we show that this assay detects CB-839 binding to glutaminase in platelets of patients collected while receiving CB-839 on a clinical trial. This assay may be used to study the pharmacodynamic profile of CB-839 in very small tissue samples obtained from patients on a clinical trial and may be useful in future studies designed to screen other inhibitors of glutaminase.
Whole-exome sequencing reveals genetic underpinnings of salivary adenoid cystic carcinoma in the Chinese population
Shuhang Wang, Yue Yu, Yuan Fang, Huiyao Huang, Dawei Wu, Hong Fang, Ying Bai, Chao Sun, Anqi Yu, Qi Fan, Zicheng Yu, Chao Zhang, Changxi Wang, Zaixian Tai, Yi Huang, Ning Li
2020, 47(7): 397-401. doi: 10.1016/j.jgg.2020.07.001
Abstract (153) HTML PDF (7)
Abstract:
Loss of Rbm24a causes defective hair cell development in the zebrafish inner ear and neuromasts
Xiaoning Cheng, Jing-Jing Zhang, De-Li Shi
2020, 47(7): 403-406. doi: 10.1016/j.jgg.2020.07.002
Abstract (100) HTML PDF (4)
Abstract: